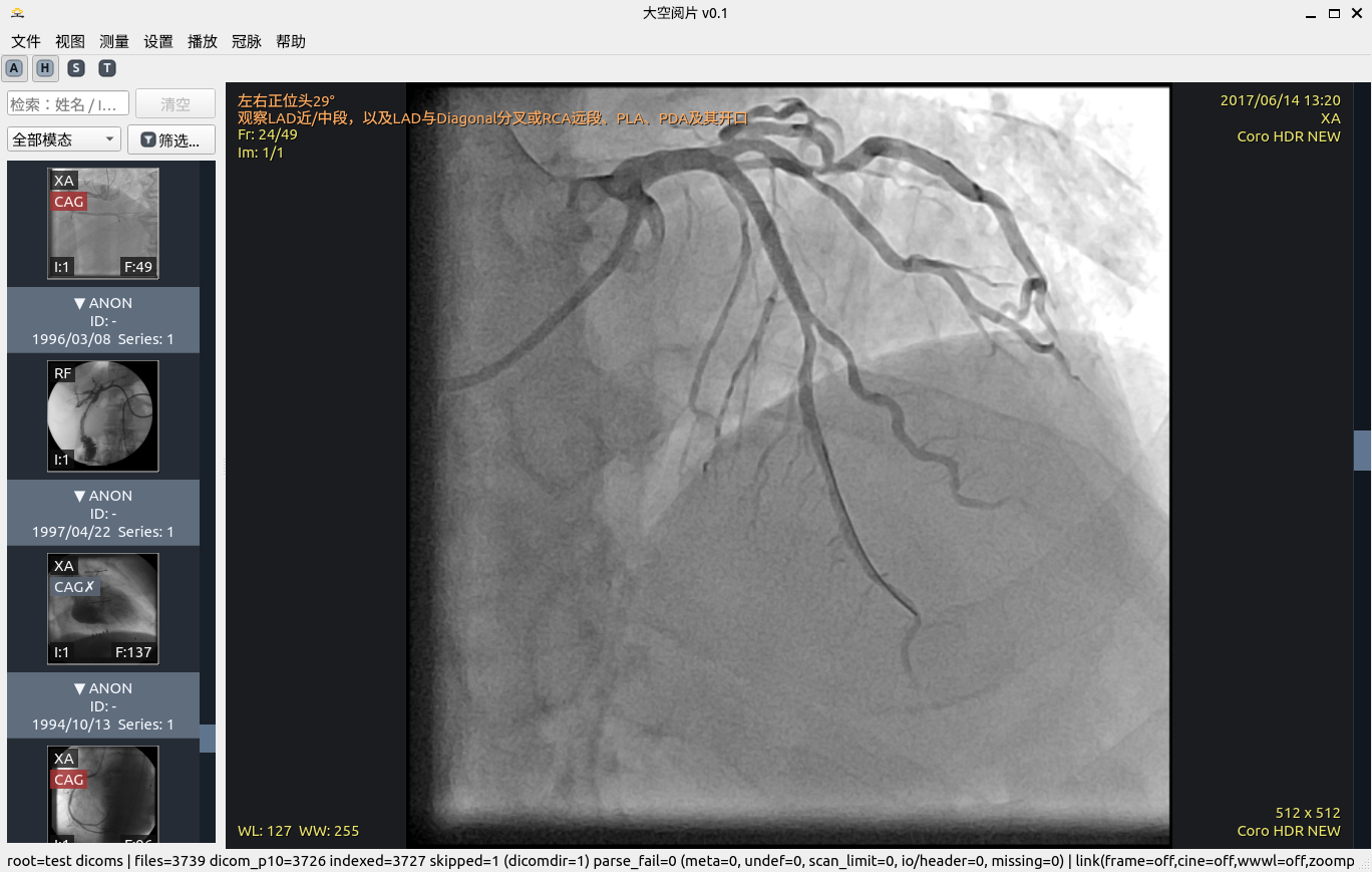
1. DICOM 稳定全面解析
覆盖临床高频传输语法,重点解决“能打开、能稳定显示、异常可定位”。
- 支持 Uncompressed、RLE、Deflated、Classic JPEG、JPEG-LS、JPEG2000。
- 封装像素数据按帧解析(fragment 级处理),保证多帧序列连续阅片。
- 不支持语法明确报错,不做静默失败。
专业阅片,服务临床,永久免费
覆盖临床高频传输语法,重点解决“能打开、能稳定显示、异常可定位”。
先把“可做分析的序列”筛对,再进入定量流程,减少无效操作。
围绕病例汇报场景,把“选帧 + 导出 + 排序”做成完整闭环。
把检查维度统计自动化,减少人工汇总与漏项。
半自动流程强调“可解释 + 可修正 + 可重算”,而非一次性黑盒输出。
移动端请按步骤顺序阅读:步骤 1 → 步骤 7。
围绕临床 pullback 场景,提供“截面-长轴-测量”联动工作区。
提供轴位/冠状位/矢状位协同浏览,支持重建参数调节。
测量工具覆盖常见临床动作,导出链路适配病例沟通。
适配复杂阅片场景,减少在多窗切换中的重复操作。
为教学演示、会诊共享与院内讨论提供隐私保护支持。
注意:
1.此阅片工具为个人开发,方便各位同道临床阅片、教学讨论使用,未经本人允许不得改造商用;
2.影像分析等高级功能,仅供受过专业培训的同道试用,不作为临床决策支持工具。
有建议欢迎联系:zhongwei_sun2009@163.com