DAKONG VIEWER

大空阅片

专业阅片,服务临床,永久免费

Windows / macOS / Linux 小巧极速,稳定可靠
主界面总览
主界面总览:序列树 + 主视口 + 核心菜单入口

临床一线专业阅片工具

1. DICOM 稳定全面解析

覆盖临床高频传输语法,重点解决“能打开、能稳定显示、异常可定位”。

  • 支持 Uncompressed、RLE、Deflated、Classic JPEG、JPEG-LS、JPEG2000。
  • 封装像素数据按帧解析(fragment 级处理),保证多帧序列连续阅片。
  • 不支持语法明确报错,不做静默失败。
DICOM 稳定全面解析
压缩 DICOM 序列显示示例

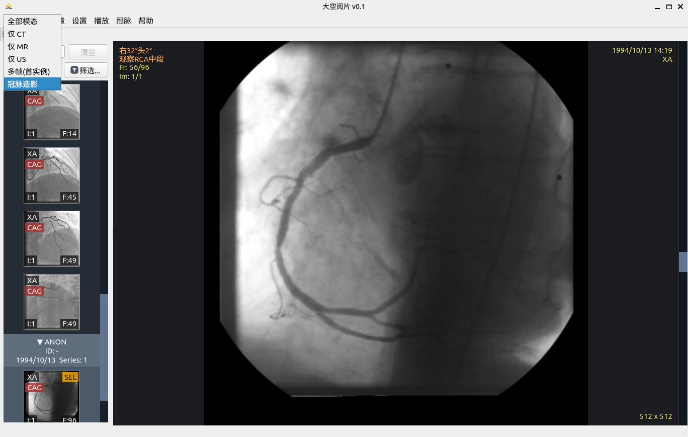
2. 冠脉介入影像筛选及目标血管筛选

先把“可做分析的序列”筛对,再进入定量流程,减少无效操作。

  • 序列级规则筛选:结合 Modality、ImageType、描述信息与实例结构。
  • 人工判定与算法判定双轨:可标记冠脉/非冠脉并随时回退。
  • QCA 入口与序列资格联动,避免误入分析流程。
冠脉介入影像筛选
冠脉介入影像筛选
目标血管筛选
目标血管筛选

3. 冠脉介入关键帧检测与导出

围绕病例汇报场景,把“选帧 + 导出 + 排序”做成完整闭环。

  • 支持关键帧候选与人工复核,减少逐帧手工筛选成本。
  • 序列级 Top1 关键帧导出,可直接用于病例汇报素材整理。
  • 导出文件名带固定序号,按文件名即可恢复序列顺序。
关键帧检测与导出
关键帧检测与导出示例

4. 冠脉介入检查信息统计

把检查维度统计自动化,减少人工汇总与漏项。

  • 可汇总剂量与时间相关指标(如 DAP、入射剂量、事件数、时长估算)。
  • 支持序列级统计明细与置信标识,便于快速复核。
  • 一键导出 CSV,用于病历、质控与教学归档。
检查信息统计
检查信息统计与导出

5. 冠脉 QCA 分析

半自动流程强调“可解释 + 可修正 + 可重算”,而非一次性黑盒输出。

  • 导管标定:拉直空间剖面 + 左右联合动态规划(DP)+ 亚像素修正。
  • 边缘检测:极性自适应 + 有符号边缘特征 + 联合状态 DP + 多峰歧义度。
  • 稳健性:MAD 统计、质量等级、结构化告警与恢复建议。
  • 几何交叉校验:SID/SOD/ERMF/像素间距参与比例复核。

移动端请按步骤顺序阅读:步骤 1 → 步骤 7。

QCA 分析步骤 1
关键帧选取
QCA 分析步骤 2
导管校准
QCA 分析步骤 3
分析起止点选定
QCA 分析步骤 4
中心线与血管轮廓自动识别
QCA 分析步骤 5
血管轮廓修改及自动复核位置提示
QCA 分析步骤 6
QCA分析及调整
QCA 分析步骤 7
QCA详细报告导出

6. 腔内影像长轴重建(OCT/IVUS)

围绕临床 pullback 场景,提供“截面-长轴-测量”联动工作区。

  • 截面旋转切割轴与长轴实时联动重采样。
  • 支持序列定位回跳,便于分支口、病变段快速对照。
  • 自动回撤模式下支持 mm 长度测量(帧率 + 回撤速度参数)。
腔内影像长轴重建
截面旋转轴与长轴联动,支持长度测量

7. MPR 三屏重建

提供轴位/冠状位/矢状位协同浏览,支持重建参数调节。

  • 三平面同步定位,便于快速建立空间对应关系。
  • 支持投影模式与采样模式切换,适应不同观察任务。
  • 保留交互一致性,减少学习与切换成本。
MPR 三平面重建
MPR 三平面重建联动界面

8. 完善的测量与导出

测量工具覆盖常见临床动作,导出链路适配病例沟通。

  • 长度、角度、椭圆、多边形、Cobb、偏移、箭头、手绘等工具完整。
  • 支持选中编辑、撤销重做、测量管理器与删除清理。
  • 图片/视频导出支持多范围选择与可排序命名策略。
测量工具与管理
测量工具与管理
导出设置
导出参数与结果控制

9. 多窗联动

适配复杂阅片场景,减少在多窗切换中的重复操作。

  • 支持播放同步(Cine Sync)。
  • 支持窗宽窗位同步(WW/WL Sync)。
  • 支持缩放平移同步(Zoom/Pan Sync)。
多窗联动
多窗联动控制示例

10. 隐藏患者信息

为教学演示、会诊共享与院内讨论提供隐私保护支持。

  • 可切换患者信息隐藏显示,降低外泄风险。
  • 与常规阅片流程兼容,不影响核心交互。
  • 支持在演示与导出场景保持一致隐私口径。
隐藏患者信息
患者信息隐藏示例

软件下载

注意:
1.此阅片工具为个人开发,方便各位同道临床阅片、教学讨论使用,未经本人允许不得改造商用;
2.影像分析等高级功能,仅供受过专业培训的同道试用,不作为临床决策支持工具。

有建议欢迎联系:zhongwei_sun2009@163.com

登录/注册 返回首页